Fotos Impressionen EVK Mettmann
Die chirurgisch behandelten Privatpatienten werden stationär auf der Komfortstation des EVK Mettmann aufgenommen.
Die Komfortstation in der vierten Etage des Krankenhauses.
Auch gesetzlich versicherte Patienten werden stationär auf der vierten Etage aufgenommen und liegen somit auf der Etage, die im Rahmen der Krankenhauserweiterung aufgestockt wurde.
Erst nach eingehender Untersuchung entscheidet der Arzt, ob ein künstliches Gelenk implantiert werden muss oder andere Therapien Erfolg versprechend sind.
Mit Hilfe eines Modells können Verletzungen oder Eingriffe für den Patienten verständlicher erklärt werden.
Chefarzt Dr. med. Kaminski im OP.
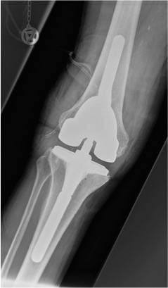
Eine Röntgenaufnahme nach ausgewechselter Knieprothese.
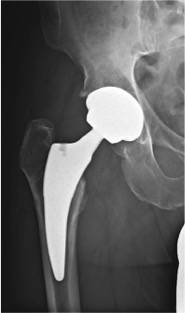
Das Röntgenbild zeigt eine eingesetzte Kurzschaftprothese.
Das Röntgenbild zeigt eine Knieprothese.
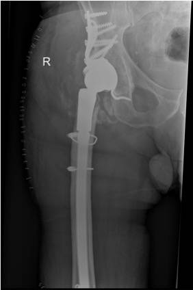
Einer der größeren endoprothetischen Eingriffe: eine Gelenkpfannenrekonstruktion des Hüftgelenks.
Nachlese Tag der offenen Tür bei der Freiwilligen Feuerwehr Erkrath
Unsere Bildergalerie Aktionstag „Tag der Nachbarschaft“ der Stiftung nebenan.de